
Türkiye'de Laminate Kaplamalar | Fiyat, İşlem ve Gülüş Tasarımı
Türkiye'de Lamine Kaplamalar
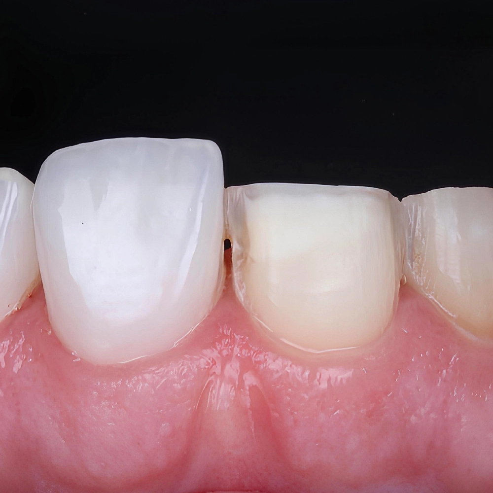
Türkiye'de lamine kaplamalar, dişten minimum aşındırma ile daha parlak ve daha uyumlu bir gülüş isteyen hastiler için en çok talep edilen kozmetik diş hekimliği tedavilerinden biridir. Bu ultra ince kabuklar dişlerin ön yüzeyini örter ve mümkün olduğunca fazla doğal mineyi korurken renk, şekil ve hizalamayı dönüştürebilir.
Gelişmiş yapıştırma teknikleri ve deneyimli estetik diş hekimleri sayesinde, lamine kaplamalar kaliteli gülüş yenilemelerini rekabetçi fiyatlarla arayan uluslararası hastalar için öngörülebilir, uzun ömürlü bir çözüm haline gelmiştir.
Lamine kaplamalar nedir?
Lamine kaplamalar ince porselen, kompozit reçine veya her ikisinin kombinasyonundan oluşan tabakalardır. Geleneksel olarak, laminate veneer terimi porselen tipi ifade eder; ancak kompozit ve hibrit seçenekler de mevcuttur. Seçili vakalarda, ek destek ve stabilite sağlamak için dilsel veya oklüzal yüzeylerin biraz üzerine uzatılabilirler.
Temel Özellikler
Ultra ince, yarı saydam kabuklar
Dişlerin ön yüzeylerine yapıştırılır
İyileştirmek için tasarlanmıştır:
Renk
Şekil
Uzunluk
Hizalama & simetri
Lamine Kaplamalar İçin İdealdir
Hafif–orta dereceli renklenme
Hafif çapraşıklık veya hizalanma bozukluğu
Küçük, kısa veya aşınmış dişler
Kenarları kırık veya çatlamış kenarlar
Kozmetik gülüş tasarımı / Hollywood gülüşü arayan hastalar
Uygun Olmayabilir
Ortodonti gerektiren şiddetli hizalanma bozuklukları
İleri düzey çürük veya büyük kırıklar
Tedavi edilmemiş diş eti hastalığı
Koruma olmadan şiddetli bruksizm
Kaplamalar yerine tam örtücü kuron gerektiren dişler
Dikkatli bir danışma, lamine kaplamaların, ortodontinin, beyazlatmanın veya bu tedavilerin kombinasyonunun size en güvenli ve en estetik sonucu verip vermeyeceğini belirlemeye yardımcı olur.
Lamine Kaplamalar Nasıl Çalışır?
Türkiye'de lamine kaplamalar, ultra ince, özel yapılmış kabukların mineye yapıştırılması yoluyla uygulanır. Yerleştirmeden önce diş yüzeyi temizlenir ve her kaplama, gülüşünüze düzgün entegrasyonunu sağlamak için uyum, renk ve kontur açısından kontrol edilir.
Modern yapıştırma protokolleri yapışmayı artırmak için asit aşındırma ve silan uygulaması (porselen için) kullanır. Doğru yapıldığında, kaplama ile diş arasındaki bağ kuvveti, alttaki mine veya dentinin gücüyle yarışabilir hatta onu aşabilir.
Yapıştırma & Malzemeler
Diş yüzeyinin dikkatli temizlenmesi ve izole edilmesi
Mikro tutunma yüzeyi oluşturmak için minenin asit ile aşındırılması
Kimyasal bağlanmayı iyileştirmek için porselene silan uygulanması
Yüksek kaliteli yapıştırıcı + rezin simanın
uygulanmasıOdaya uygun sıcaklıkta malzemeyi sertleştirmek için ışıkla kürleme
Yapıştırma Teknolojisinin Temel Faydaları
Güçlü, dayanıklı yapışma
Doğal yarı saydamlık ve parlaklık
Yüksek leke direncine sahip stabil renk tonu (özellikle porselende)
Doğru bakım ile öngörülebilir uzun vadeli performans
Beklenen Ömür
Kompozit kaplamalar Türkiye: ~3–10 yıl
Porselen lamine kaplamalar Türkiye: ~10–20+ yıl (iyi bakım ile)
Kaplamaları bu kadar doğal gösteren yarı saydamlık, aynı zamanda alttaki renk farklılığının doğru malzeme seçimi ve hazırlık kalınlığı ile dikkatle yönetilmesi gerektiği anlamına gelebilir.
Türkiye'de Lamina Kaplamalar Prosedürü: Adım Adım
Her vaka bireysel olsa da, lamina kaplama süreci genellikle iki ila üç ziyareti içerir. Klinik içi laboratuvarlar veya CAD/CAM sistemlerine sahip bazı klinikler, hassasiyetten ödün vermeden tedaviyi daha hızlı tamamlayabilir.

İlk randevuda, estetik diş hekiminiz ön dişlere ve gülüş hattınıza özel dikkat göstererek ayrıntılı bir değerlendirme yapacaktır.
Değerlendirdiklerimiz
Dişler ve diş etleri
Isırış ve oklüzyon
Mevcut dolgular, çatlaklar veya çürükler
Ön dişlerin oranları (yükseklik/genişlik)
Orta hat ve gülüş simetrisi
Tanısal Kayıtlar
Santral kesici dişlerin ve tam gülüşün fotoğrafları
Analiz için yan ve önden görüntüler:
Üçler kuralı
Buccal koridorlar
Dudak pozisyonundaki değişiklikler
Gerekirse röntgenler
Dijital taramalar veya ölçüler
Bu ölçümler ve görüntüler, lamina tonu, şekli ve konturunun seçiminde rehberlik eder ve doğal yüz oranlarını takip eden estetik bir gülüş oluşturulmasına yardımcı olur.
Çalıştığımız Ünlüler
Ünlüler ve Sosyal Medya Fenomenleri Cinik Dental'i Tercih Ediyor!
Lamine veneerlerin avantajları
Lamine veneerler estetik diş hekimliğinde en gelişmiş ve koruyucu seçeneklerden biri olarak kabul edilir. Adhezyon diş hekimliğindeki atılımlar, porselen lamine veneerleri Türkiye'de özellikle başarılı kılmış; hem hastaları hem de klinisyenleri memnun etmektedir.

Doğal, ışıltılı bir gülüş

Uygun bakım ile uzun ömürlü sonuçlar

Kahve, çay veya sigaradan kaynaklanan lekelere karşı yüksek direnç (porselen)

Diş dokusunu koruyan minimal hazırlık

Mükemmel diş eti uyumu olan biyouyumlu malzemeler

Standart ağız hijyeninin ötesinde düşük bakım gereksinimi

Gülümserken özgüven ve konfor artışı
Gülüşün estetik bölgesini stabilize ederek, lamine veneerler sıklıkla uzun vadeli memnuniyet ve sürekli hoş bir görünüm sağlar.

Doğal, ışıltılı bir gülüş

Uygun bakım ile uzun ömürlü sonuçlar

Kahve, çay veya sigaradan kaynaklanan lekelere karşı yüksek direnç (porselen)

Diş dokusunu koruyan minimal hazırlık

Mükemmel diş eti uyumu olan biyouyumlu malzemeler

Standart ağız hijyeninin ötesinde düşük bakım gereksinimi

Gülümserken özgüven ve konfor artışı
Gülüşün estetik bölgesini stabilize ederek, lamine veneerler sıklıkla uzun vadeli memnuniyet ve sürekli hoş bir görünüm sağlar.
Veneer Türlerinin Artıları ve Eksileri
Artılar ve Eksiler Tablosu
Tür | Artılar | Eksiler |
Porselen Veneerler | • Çok doğal, yarı saydam görünüm • Mükemmel leke direnci • Uzun ömür (≈10–20+ yıl) • Güçlü ve dayanıklı • Tam gülüş yenilemeleri için ideal | • Kompozite göre daha yüksek maliyet • Mine azaltımı gerektirir • Onarımlar genellikle değişim anlamına gelir • Tedavi çoğunlukla birden fazla ziyaret gerektirir |
Kompozit Veneerler | • Daha uygun maliyetli seçenek • Çoğu zaman tek seansta tamamlanabilir • Koltuk başında kolay onarım ve değişiklik yapılabilir • Minimum diş hazırlığı | • Daha kısa ömür (≈3–10 yıl) • Lekelenmeye ve kırılmaya daha yatkın • Genel olarak daha az dayanıklı • Estetik olarak porselene göre biraz daha az doğal olabilir |
Lamine Veneerler (Ultra ince porselen) | • Aşırı koruyucu – maksimum mine korunumu • Çok doğal, “ışık geçiren” görünüm • Güçlü ve uzun ömürlü (≈10–20+ yıl) • Mükemmel leke direnci • Estetik diş hekimliğinde genellikle altın standart olarak kabul edilir | • Çok koyu renklenmeler veya şiddetli hasarlı dişler için uygun değildir • Daha yüksek maliyet • Yüksek beceriye sahip diş hekimi ve kaliteli laboratuvar gerektirir • Onarımlar değişim gerektirebilir |
Veneer Türleri: Karşılaştırma Tablosu
Özellik | Porselen Veneerler | Kompozit Veneerler | Lamine Veneerler |
Diş Hazırlığı | Orta düzey mine azaltımı gerekir | Minimum diş çıkarımı; çoğu mine korunur | En az invaziv; maksimum mine korunumu |
Dayanıklılık | 10–20+ yıl; mükemmel leke & aşınma direnci | 3–10 yıl; lekelenme & çatlamaya daha yatkın | 10–20+ yıl; mükemmel leke & aşınma direnci |
İlk Uygulama | Dolaylı, laboratuvarda yapılır; 1–3 hafta | Koltuk başında veya laboratuvarda yapılabilir; onarımlar nispeten kolay | Genellikle laboratuvarda üretilir veya CAD/CAM ile frezelenir; hassas renk eşleştirme mümkün |
Fonksiyonellik | Güçlü ve stabil; normal ısırmayı & günlük fonksiyonu destekler | İyi fonksiyon; bazı durumlarda sert yiyecekler kısıtlanabilir | Güçlü ve stabil; normal ısırmayı & günlük fonksiyonu destekler |
Son Sabitleme / Bitiriş | Doğru şekilde cilalandığında ve bitirildiğinde güçlü son bağ | Konforlu sonuç; zamanla boyutsal stabilitesi biraz daha az olabilir | Mükemmel ışık geçirgenliği ve bitiriş ile güçlü bağ |
En Uygun | Kozmetik gülüş tasarımı, küçük boşlukları kapatma, renk değişimlerini gizleme | Çatlaklar, lekeler, küçük boşlukların hızlı, uygun maliyetli düzeltilmesi | Minimum törpüleme ile ultra ince, doğal görünümlü laminalar isteyen hastalar |
Türkiye'de Lamine Veneerleri Neden Seçmelisiniz?
Uluslararası hastalara aşina, deneyimli estetik diş hekimleri
Dijital gülüş tasarımı ve CAD/CAM bulunan son teknoloji klinikler
ABD ve İngiltere ile karşılaştırıldığında rekabetçi fiyatlandırma
Diş tedavisini seyahatle birleştirme fırsatı
Gülüşünüzü yenilerken İstanbul'un tarihi ve kültürel cazibelerinin keyfini çıkarın
List with doctors
Meet the specialists who will take care of you
Meet Our Expert Dentists
Türkiye'de Laminat Veneer Maliyeti
Türkiye'nin elverişli ekonomik koşulları ve deneyimli estetik diş hekimleri, yüksek kaliteli ancak uygun fiyatlı laminat veneerler için ülkeyi önde gelen bir destinasyon haline getirir.
Veneer Başına Ortalama Maliyet
Ülke | Veneer Başına Fiyat |
Türkiye | $200–$800 (≈ €250–€450) |
ABD | ≈ $1,500–$2,000+ (Lumineers, Vivaneers gibi premium markalar genellikle daha pahalı) |
Birleşik Krallık | ≈ £800–£1,500+ |
Veneer Fiyatını Etkileyen Faktörler
Diş hekiminin deneyimi ve eğitimi
Klinik konumu ve teknolojisi
Porselen/kompozitin türü ve markası
Laboratuvar işinin kurum içinde mi yoksa dışarıda mı yapıldığı
Veneer sayısı ve gülüş tasarımının karmaşıklığı
Ek hizmetler:
Beyazlatma
Geçici veneerler
Çıkarılabilir plaklar veya hizalayıcılar
Türkiye'nin fiyatları bazı Batı ülkelerine göre %70'e kadar daha düşük olabilir, ancak hastalar her zaman en ucuz teklifi değil kalite ve deneyimi tercih etmelidir. Tedavi planlamasına, özellikle gülüş şekli ve tonu konusunda, aktif katılım başarı için çok önemlidir.
Laminat Veneerler İçin Bakım
Laminat veneerleri iyi durumda tutmak basittir ve doğal dişlerin bakımına benzerdir.
Günlük Ev Bakımı
Fırçalayın günde iki kez yumuşak kıllı bir diş fırçasıyla
Kullanın düşük aşındırıcı diş macunu
Günlük olarak diş ipi kullanın veya ara yüz fırçaları kullanın
Tavsiye edildiyse alkol içermeyen bir ağız gargarası ile çalkalayın
Ön dişlere aşırı kuvvet uygulamaktan kaçının (ör. çok sert nesneleri ısırmak)
Yaşam Tarzı ve Hassasiyet
Laminat veneerler lekelenmeye karşı dirençlidir, ancak:
Altındaki dentin, açığa çıkarsa, pigmentleri emebilir
Dentin zarar görmüşse sık ve yoğun lekeleyici alışkanlıklardan kaçının
Hafif sıcaklık hassasiyeti:
Minimal hazırlık yapılan dişlerde yaygındır
Genellikle kısa süreli olur
Remineralize edici diş macunu veya florür uygulaması önerilebilir
Hassasiyet iki aydan fazla devam ederse, bir protez uzmanı veya estetik diş hekimi bölgeyi yeniden değerlendirmelidir.
Kontrol Takvimi
İlk değerlendirme: yerleştirmeden yaklaşık 2 ay sonra
Rutin kontroller: yılda bir veya önerildiği şekilde
Profesyonel temizlik, kenarlar etrafında plak ve tartar birikimini önlemeye yardımcı olur
Kaç Ziyaret Gerekir?
Tür | Tipik Ziyaretler |
Laboratuvarda yapılan porselen/laminat veneerler | 2–3 ziyaret (konsültasyon, hazırlık ve ölçü alma, yapıştırma) |
CAD/CAM ile aynı gün yapılan veneerler | Durumun karmaşıklığına bağlı olarak 1–2 ziyaret |
Önemli Bilgiler Bir Bakışta
Konu | Detaylar |
İdeal Adaylar | İyi ağız hijyeni, stabil dişetleri, tedavi edilmemiş bruksizm olmaması |
Uygun Değil | Şiddetli kırık dişler, ileri düzey çürükler, kontrolsüz diş sıkma |
Ömür | Kompozit: 3–10 yıl; Porselen/laminat: 10–20+ yıl |
Bakım | Standart fırçalama, diş ipi kullanımı, düzenli kontroller |
Leke Riski | Porselen için çok düşük; kompozit için daha yüksek |
Türkiye'de Tipik Fiyat | ≈ €250–€450 veya $200–$800 her veneer için |
Sıkça Sorulan Sorular
Güvenle gülümsemeye hazır mısınız?
Randevunuzu bugün alın ve Cinik farkını deneyimleyin. Yeni hastalara ücretsiz çevrimiçi danışma sağlanır.


