Hi, my name is Jennifer. I don’t have any medical issues, no gum problems, no allergies, and I’m not taking any medication.
I’ve had a few fillings before, and I’ll be getting two teeth removed before I come over. Once healed, I’m looking to have composite bonding and a bridge to fill the gaps.
I’m planning to visit around September. What would you recommend?


Answers (1)
From our board-certified dentists and trusted medical professionals

Eda T.
Dentist
Answered on Apr 28, 2026
ANSWER
Hi Jennifer, thanks for explaining everything so clearly.
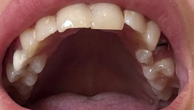
First of all, after your extractions, we need to plan carefully based on your bite and tooth positions. If you prefer not to have implants, we can definitely look at bridge options for your upper jaw.
However, it’s important to know that to place a bridge, we would need to prepare (slightly shape) the neighboring teeth — specifically around 13–15 and 23–25 — to properly support the bridge. This is a standard step to make sure the bridge is stable and long-lasting.
Regarding composite bonding, in your case, it wouldn’t be the best option. Due to your bite (closure) and the current position of your teeth, especially the front teeth (22-21-11-12), bonding would not give a predictable or durable result.
Instead, if you’re looking for a more aesthetic and long-term solution, we could consider zirconium crowns for the upper jaw (around 12 teeth). This would improve both the appearance and function in a much more stable way.
Of course, once you arrive, we’ll take detailed scans and evaluate everything again, but this would be the most suitable direction based on what you’ve shared.