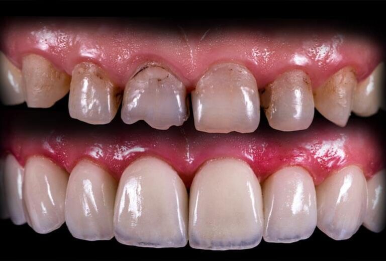
In the realm of modern dentistry, there exists a transformative treatment method that has captured the hearts and smiles of countless individuals seeking unparalleled beauty: Zirconium Veneers At Cinik Dental, we pride ourselves on offering this treatment for achieving radiant smiles. Let’s delve deeper into the intricacies of this treatment to explore the wonders of zirconium, its myriad benefits, and why it has become the ultimate choice for numerous satisfied patients, including renowned celebrities.
What is Zirconium Veneers?
Prepare to be captivated by the sheer brilliance of zirconium—a chemical element (symbol Zr) boasting exceptional strength and resistance to corrosion. This gleaming silver-grey substance is derived from the abundant mineral zircon and has earned its rightful place as the pinnacle of dental restorations, reigning supreme in terms of durability and aesthetic appeal.

What are the Benefits of Zirconium Veneers?
Indestructible Beauty:
Imagine a smile that withstands the test of time. Zirconium dental restorations offer unparalleled durability, enabling you to savor life's delights without worry. Say goodbye to chips, cracks, and discolouration—zirconium ensures your smile stays breathtakingly flawless.
A Seamless Masterpiece:
Embrace the art of natural aesthetics. Zirconium's captivating white hue seamlessly blends with your existing teeth, creating a masterpiece of harmonious perfection. We craft zirconium restorations with meticulous precision to ensure your smile looks genuine and feels incredibly comfortable.
The Promise of Safety:
Your well-being is our utmost priority. Zirconium's exceptional biocompatibility guarantees a worry-free experience. Bid farewell to allergies or unfavourable reactions, as Cinik Dental employs only the highest quality zirconium materials, ensuring a safe and reliable dental journey.
Precision Perfected:
Embrace the future of dentistry with our state-of-the-art technology. Comply designed using computer-aided design and manufacturing (CAD/CAM) technology, Zirconium restorations guarantee an impeccable fit tailored to your unique smile. Experience the confidence from knowing your dental work is flawlessly customized, providing a long-lasting and seamless result.

How is Zirconium Veneer Done at the Cinik Dental?
At Cinik Hospital, creating zirconium veneers is a meticulous and personalized procedure, ensuring the highest quality and patient satisfaction. Here's a refined description of how zirconium veneers are crafted at Cinik Hospital: Comprehensive Consultation: At the outset, our experienced dental professionals thoroughly consult each patient. This allows us to understand their unique dental goals and desires and assess their oral health. We discuss the benefits of zirconium veneers and address any concerns or questions to ensure a well-informed decision. Comfortable Treatment Environment: We prioritize your comfort throughout the process. Before the procedure begins, local anaesthesia is administered to ensure a pain-free experience. Our caring and skilled team will provide you feel at ease and relaxed during the entire treatment. Customized Preparation: Our dental experts delicately shape and reduce the teeth that will receive the zirconium veneers to achieve the perfect fit and aesthetics. This step ensures that the surfaces will seamlessly blend with the natural teeth, enhancing your smile's appearance and functionality. Artistry in Color Matching: We understand the importance of achieving a natural-looking smile. To ensure a harmonious blend, we use a colour scale to meticulously match the shade of the veneers to your existing teeth. This attention to detail guarantees a result that appears seamless and indistinguishable from your natural teeth. Precise Adhesion Process: At Cinik Hospital, we utilize advanced adhesive techniques to secure the zirconium veneers to the prepared teeth. Our dental professionals apply a unique adhesive that ensures a strong and long-lasting bond. This meticulous process is done precisely to achieve optimal aesthetics and functionality. Post-Treatment Care: After the zirconium veneers are affixed, allowing the adhesive to set correctly is essential. We advise patients not to consume food or drink for at least half an hour following the procedure. This ensures the veneers remain firmly in place and ensures the longevity of the treatment.
Which Celebrities and Football Players Trust Cinik Dental for Zirconium Veneers?
Regarding achieving a flawless smile, Cinik Dental has become the go-to destination for celebrities and football stars. Join the ranks of renowned figures such as Julio Cesar, Hugo Almeida, David Trezeguet, and Diego Lugano, who have entrusted their smiles to the expertise of Cinik Dental. Experience the transformative power of zirconium veneers, the preferred choice of these illustrious personalities. Step into the spotlight and discover the exceptional dental care that has captivated the brightest stars in the world of entertainment and sports. If you have any queries or concerns, feel free to reach out to us. https://youtu.be/_uuUsXXIyEw https://youtu.be/EQUhazlhKlY
Conclusion:
Unlock the transformative power of zirconium at Cinik Dental in Istanbul, where dreams of a perfect smile become reality. Indulge in the remarkable benefits of zirconium, from its unwavering durability and seamless aesthetics to its unmatched biocompatibility and precision craftsmanship. Follow in the footsteps of celebrities who have trusted Cinik Dental, and witness the radiant beauty that awaits you. Don't settle for less regarding your smile—choose zirconium, the irresistible choice for a breathtakingly perfect smile.




